Bone Grafting
Bone Graft and Sinus Lift
Bone Graft Around Teeth
Dental Implants
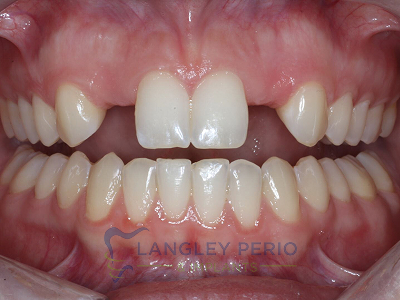
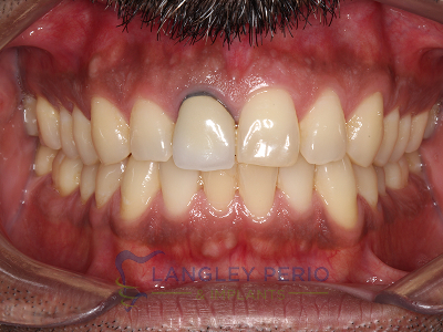
Case 1
A patient with a broken crown and fractured tooth was treated in 1 day with an extraction, immediate implant placement, and a fixed temporary tooth attached to the implant all in the same appointment. The patient did not have to wear a denture while waiting for the implant to heal and so was never without a natural looking tooth replacement.



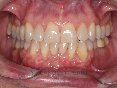
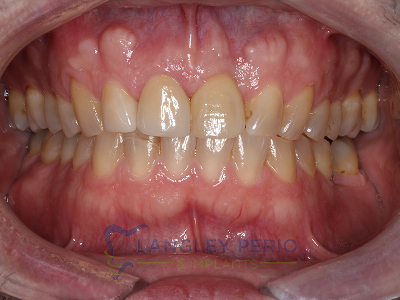
Case 2
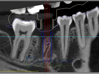
A patient presented with a large infection and advanced bone loss. 2 implants were placed to replace 3 missing lower incisors


Full Arch Implants
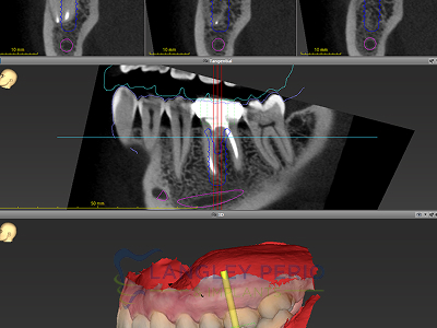
Fully-Guided Implant
Implant Bridge
Dental Implants
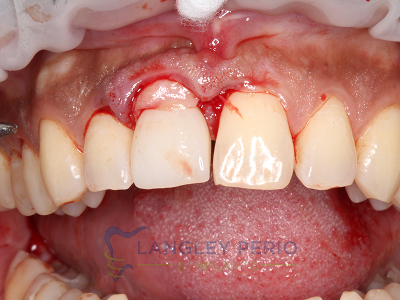
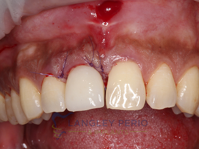
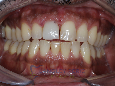
Provisional Implant Crown (Teeth in a Day)
Gingival Grafting
Case 1
Connective tissue grafting was performed to correct gingival clefting caused by over-aggressive toothbrushing

Case 2
Connective tissue grafting was done to cover exposed root surfaces to help to prevent root cavities from developing and reduce temperature sensitivity.

Case 3
Alloderm tissue grafting performed to improve root coverage and esthetics. This technique does not require tissue to be taken from the patient’s palate.

Donor Tissue Graft for Root Coverage
Connective Tissue Graft for Root Coverage
Epithelial Graft for Tissue Thickening
Lingual Gingival Grafting
Gingivectomy
Implants-Supported Prosthesis
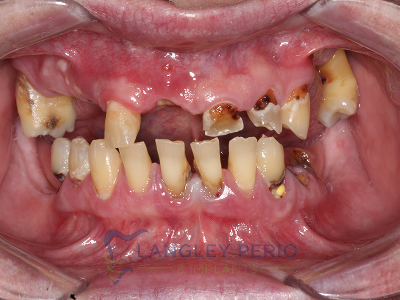
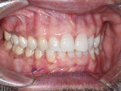
Case 1
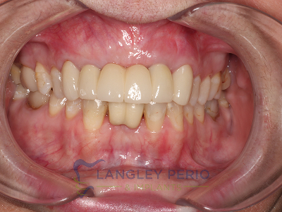
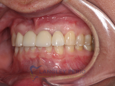
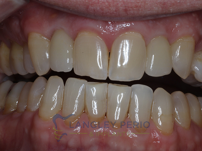
A patient with a history of failing dentition was rehabilitated with 5 implants in the upper arch and 4 implants in the lower arch. Completely implant supported upper and lower prostheses were made to restore function, esthetics and health.

Case 2
This patient who suffered from generalized advanced periodontal disease and multiple missing teeth was rehabilitated with implant overdentures in both the upper and lower arches. She was unable to eat comfortably before because of her tooth mobility, but is now able to eat, speak and smile with confidence.

Case 3
After being diagnosed with advanced bone loss and periodontal disease and looking for an esthetic improvement, this patient was successfully treated with upper and lower implant dentures.






















































































































































