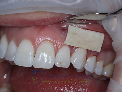
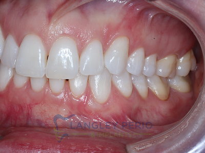
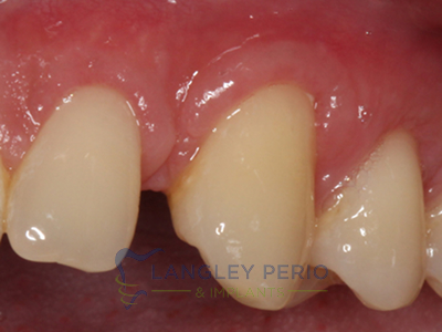
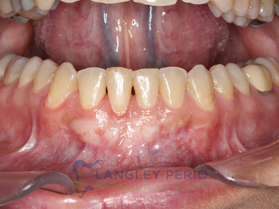
Case 1
Connective tissue grafting was performed to correct gingival clefting caused by over-aggressive toothbrushing

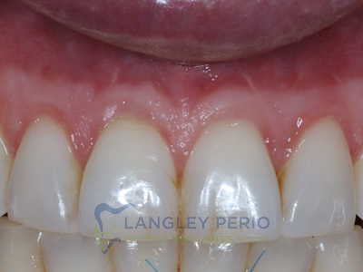
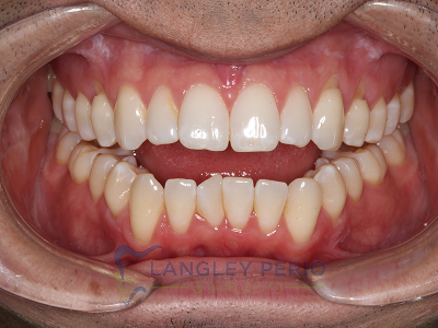
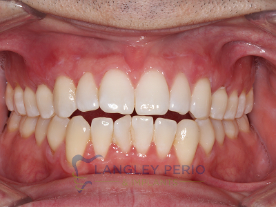
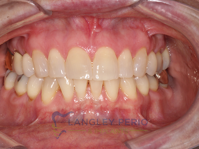
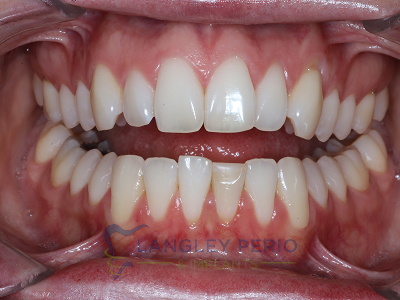
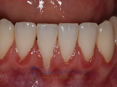
Case 2
Connective tissue grafting was done to cover exposed root surfaces to help to prevent root cavities from developing and reduce temperature sensitivity.

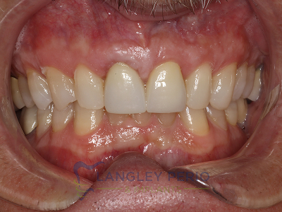
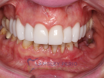
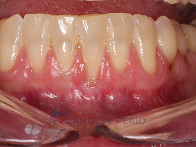
Case 3
Alloderm tissue grafting performed to improve root coverage and esthetics. This technique does not require tissue to be taken from the patient’s palate.
















































