At Langley Perio & Implants, we recognize that your gums are the foundation of your oral health, and we provide exceptional care to preserve your smile. Gum problems can get worse over time and result in substantial health complications. Our gentle and experienced dental team is here to diagnose, treat, and maintain your gums in perfect health so you can enjoy a rejuvenated smile.
Dr. Joanie Faucher and Dr. Aleem Manji are highly experienced professionals, ready to listen to your concerns and customize your gum treatment plan. With a gentle chairside approach and an upbeat team, we make your experience comfortable and enjoyable. We offer skilled gum grafting treatment to our Langley, Surrey, Abbotsford, Maple Ridge, Northern Washington, and Greater Vancouver communities. Contact us today to schedule your appointment!
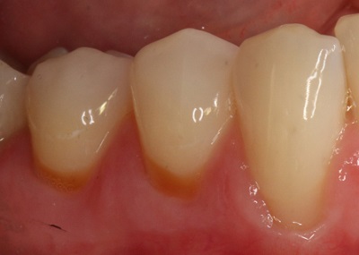
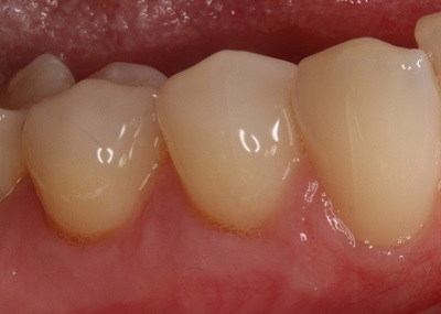
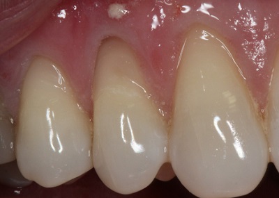
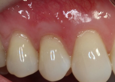
See Before and After Gingival Grafting




Platelet-Rich Fibrin Therapy (PRF) Benefits
Platelet-rich fibrin is a concentration of the patient’s blood platelets, white blood cells, and stem cells, obtained from a sample of the patient’s blood that is then spun in a centrifuge in our office. When injected into the body, PRF helps the blood clot and allows the body to regenerate tissue quickly. Platelet-rich fibrin accelerates healing and increases the chance of gum graft success.
At Langley Perio & Implants, we use Platelet-Rich Fibrin Therapy to help repair damage from gum disease and increase the success rate of procedures such as gum grafting, dental implants and extractions. With cutting-edge PRF treatment, we can help you achieve optimal gum health and a confident smile.
The Gum Grafting Process
After your initial consultation and exam, we will ensure your gums are healthy and perform a deep cleaning if needed. For grafting procedures, a local anesthetic is used to perform the procedure and keep you comfortable. We will prepare the affected area to receive the donor tissue and insert the donor tissue and close the site with sutures if needed. It takes a few weeks to heal, and during this time, it is essential to get plenty of rest, take any prescribed medication, and follow all instructions from our dentist.
Does Gum Grafting Hurt?
You may have minor discomfort after your procedure, but our skilled Langley gum grafting team will make sure you receive everything you need to make your procedure as comfortable as possible. We use local anesthetics and also offer oral conscious and IV sedation when needed.
How Gum Disease Affects Your Health
Bacteria buildup leads to plaque, which hardens over time to form tartar, a tough substance that you cannot eliminate through brushing alone. Bacteria can also spread to your gums, moving beneath their protective lining and into your tooth roots. Over time, the excessive bacteria buildup causes pockets to form around your teeth, which trap food particles.
Without proper treatment, bacteria can spread to other parts of your body, impacting your general health. Our dental team can treat mild, moderate, and severe gum disease and offer preventive care to minimize your risk of developing additional health problems. We provide comprehensive gum grafting treatments in Langley to cover exposed roots or thicken areas of gum tissue to stop further issues.
Compassionate Gum Disease Treatment in Langley
At Langley Perio & Implants, we understand how important your gums are to maintaining optimal oral health and function. They protect your teeth and their roots from exposure and decay and support your smile’s aesthetic appearance.
Our experienced team can help prevent tooth loss and gum recession with expert gum grafting treatment. We proudly serve the communities of Langley, Surrey, Abbotsford, Maple Ridge, Northern Washington, and Greater Vancouver. Find out how we can improve your smile by contacting our practice today!


